Skip to main content

Support WBUR

Bill Of The Month: Audience Reacts To Big Bill For Tiny Screws

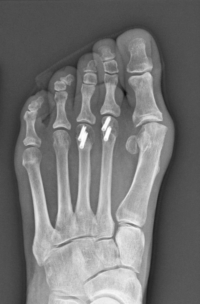
An X-ray of Sherry Young's foot shows the four implanted screws — each of which cost more than a high-end computer. (Courtesy of Sherry Young)
An X-ray of Sherry Young's foot shows the four implanted screws — each of which cost more than a high-end computer. (Courtesy of Sherry Young)

Related:

Support WBUR

Support WBUR

Listen Live