Skip to main content

Support WBUR

Lawmakers Seek Protections For Workers Against Lung Damage Tied To Making Countertops

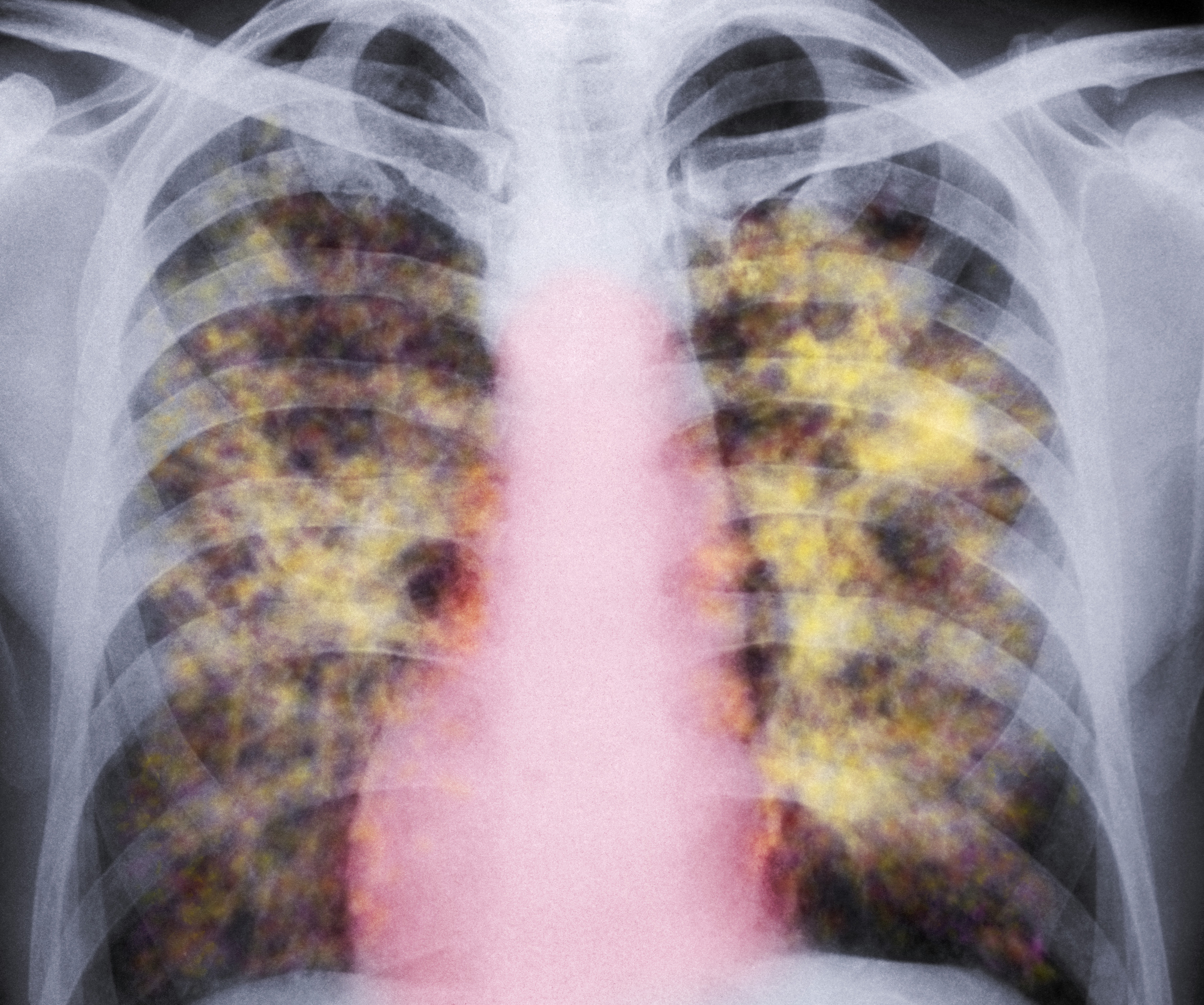
A colored X-ray of the lungs of a patient with silicosis, a type of pneumoconiosis. The yellow grainy masses in the lungs are areas of scarred tissue and inflammation. (CNRI/Science Photo Library/Getty Images)
A colored X-ray of the lungs of a patient with silicosis, a type of pneumoconiosis. The yellow grainy masses in the lungs are areas of scarred tissue and inflammation. (CNRI/Science Photo Library/Getty Images)

Related:

Support WBUR

Support WBUR

Listen Live